Na prática, o problema não está na vontade de sorrir melhor, mas no caminho oferecido até aqui. Veja por quê:
Chamam atenção, incomodam e impactam a autoestima de quem precisa conviver com eles por meses ou anos.
Precisam ser removidos para comer, falar ou em eventos sociais. Isso compromete o uso constante e os resultados.
Resultados lentos, desconfortos diários e uma rotina difícil de manter tornam o processo mais cansativo do que deveria.
Aplicado exclusivamente em clínicas credenciadas ou por profissionais capacitados para garantir máxima eficácia e segurança no tratamento.
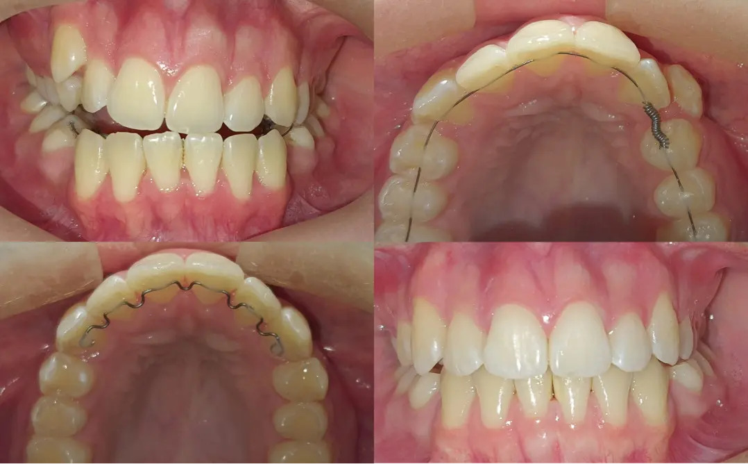
Conforme o tempo passa, você nota a diferença no espelho, com mais conforto no processo e a satisfação de ver seu sorriso evoluindo de forma natural.

Fio invisível, que não compromete sua imagem em nenhum momento do dia.

Sem braquetes, sem atrito, sem adaptações difíceis. Seu sorriso segue leve e livre.

Você pode comer, falar e sorrir sem precisar tirar ou ajustar o aparelho.

Menos idas ao consultório e mais autonomia ao longo do processo.

O impacto vai além dos dentes alinhados. A autoestima acompanha cada fase da transformação.



Ane Marques, Atriz

Larissa Aragão, Miss Paraíba 2019

Lala guedes, Miss Grand Brasil 2020

Kenno, Streamer

Mariana Rodrigues

Diane Pontes

Mirelle Cirne
Desenvolvida por especialistas com mais de 20 anos de experiência em ortodontia no Brasil.
Somente clínicas autorizadas realizam o tratamento, garantindo controle e excelência.
Você recebe orientações claras e suporte contínuo para tirar dúvidas e garantir os melhores resultados.
Clique aqui para tirar suas dúvidas
atendimento@magicwire.com.br